Ученые придумали световые чернила, которые можно наносить и стирать до 50 раз
Команда специалистов университета UC Riverside штата Калифорния создали уникальные световые чернила на основе микроскопических кристаллов титана. При воздействии УФ-лучей они темнеют, а при контакте с кислородом чернила окисляются и исчезают.

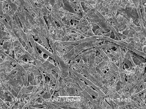
Сами разработчики считают, что их изобретение поспособствует сокращению объемов отходов из бумаги. В основе чернил лежит три компонента. Главной составляющей материала является диоксид титана TiO2. Данное полупроводниковое вещество начинает темнеть после воздействия ультрафиолетового излучения за счет разделения зарядов и восстановления кристаллов металла. При этом потемнение устраняется за счет кислорода, который окисляет титан и производит реакцию в обратном направлении. Используя данные свойства, ученые продлили потемнение TiO2, вследствие чего им удалось поддержать цветовое изменение.

В роли легирующей добавки специалисты задействовали азот из мочевины, также к кристаллам был добавлен диэтиленгликоль, который держал диоксид титана в потемневшем виде. Для получения надписи исследователям понадобилось лишь тридцать секунд облучения ультрафиолетом с длиной волны до 400 нм. Отмечается, что для получения нужен не столько мощный источник света, сколько нужно его соответствие необходимой длине волны. В результате специалисты смогли получить высококонтрастное изображение, исчезающее лишь при нагреве либо окислении. Для продления срока службы печати можно воспользоваться специальный полимерной пленкой, защищающей от окисления.
Чернила рассчитаны на пятьдесят циклов записи и стирания без снижения контрастности цвета. Разработка может пригодиться в тех сферах, где имеется потребность в многоразовых поверхностях либо нужно много раз переписывать что-либо, к примеру, для печати билетов на общественный транспорт, талонов и для информационных экранов.

Сами разработчики считают, что их изобретение поспособствует сокращению объемов отходов из бумаги. В основе чернил лежит три компонента. Главной составляющей материала является диоксид титана TiO2. Данное полупроводниковое вещество начинает темнеть после воздействия ультрафиолетового излучения за счет разделения зарядов и восстановления кристаллов металла. При этом потемнение устраняется за счет кислорода, который окисляет титан и производит реакцию в обратном направлении. Используя данные свойства, ученые продлили потемнение TiO2, вследствие чего им удалось поддержать цветовое изменение.

В роли легирующей добавки специалисты задействовали азот из мочевины, также к кристаллам был добавлен диэтиленгликоль, который держал диоксид титана в потемневшем виде. Для получения надписи исследователям понадобилось лишь тридцать секунд облучения ультрафиолетом с длиной волны до 400 нм. Отмечается, что для получения нужен не столько мощный источник света, сколько нужно его соответствие необходимой длине волны. В результате специалисты смогли получить высококонтрастное изображение, исчезающее лишь при нагреве либо окислении. Для продления срока службы печати можно воспользоваться специальный полимерной пленкой, защищающей от окисления.
Чернила рассчитаны на пятьдесят циклов записи и стирания без снижения контрастности цвета. Разработка может пригодиться в тех сферах, где имеется потребность в многоразовых поверхностях либо нужно много раз переписывать что-либо, к примеру, для печати билетов на общественный транспорт, талонов и для информационных экранов.
Комментариев пока нет :(